CABINET DENTAIRE DU 917
Soins dentaires, implantologie
CABINET DENTAIRE DU 917
Soins dentaires, implantologie

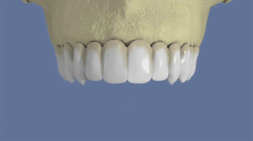
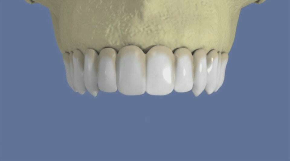
Maxillaire : bridge vissé sans fausse gencive


video-play-icon

Articles similaires

Création par Webdentiste

Connexion